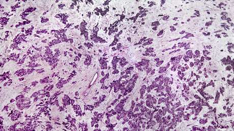
Descubren un nuevo tipo de cáncer de pulmón más mortal y mal pronosticado que no está relacionado con el consumo de tabaco
Solo un 33% de los pacientes con este tipo de cáncer sobrevive a los primeros 10 años de la enfermedad, en comparación con el 76% de los pacientes con otros tumores pulmonares.
Descubren un nuevo tipo de cáncer de pulmón más mortal y mal pronosticado que no está relacionado con el consumo de tabaco
REDACCION
0
تعليقات
إرسال تعليق